Introduction to the Fluoroscopy Machine and Key Terms
Return to Table of Contents
- Key Terms
- Fluoro
- The act of turning on the fluoro. This will display a live image on the screen as long as you are actively fluoroing.
- Image contrast is opposite what is seen on a radiograph; more dense objects are dark/black and less dense objects are light/white.
- Fluoro monitor
- This is the monitor in the room that displays the fluoro image or the spot image that was just taken.
- Spot/Spot film
- The act of taking an x-ray image using the fluoro tower.
- The image will become the reverse of what you see during fluoro and will look like a radiograph; more dense objects will appear white, less dense objects will appear dark.
- This image is more detailed than the images seen during fluoro.
- Store monitor
- Saving the image that is currently in the monitor.
- Store monitor images are not as detailed as fluoroscopic spot films.
- Cine/Cine Loop
- Cineradiography
- Storing the fluoro that you just performed.
- Images will be stored at the rate of fluorscopy (usually 15 or 30 pulses per second).
- These images are not as detailed as a spot film.
- Cine loops should not be used to document the absence or presence of a leak.
- Rapid sequence
- Rapid sequence fluoroscopic spot films.
- Obtaining multiple spot films in a row.
- The default rate at which images are obtained is 4 frames per second.
- Rapid sequence spot films are more detailed than cine loops.
- Collimate/Cone
- Collimating or "coning down" reduces the size of the area being fluoroed.
- To decrease dose, the collimation should be as narrow as possible without compromising the image.
- Fluoro Basics
- To reduce scatter, the fluoro tower should be as close to the patient as possible.
- To reduce radiation dose to the operator, the lead drape should be in place when possible.
- Do not fluoro if you are not looking at the fluoro monitor.
- When taking fluoro spot films, center on the area of interest to obtain the most detailed and accurate image. If not centered on the area of interest, the image may appear slightly distorted.
- Fluoro Machine
- Tower Control
- Parking/Unparking the tower
- Push and hold the "P" with a slask through it and the tower will move over the patient.
- Push and hold the "P" to move the tower back into a parked position.
- The machine must be all the way up and all the way away from the operator before the "P" button will engage and move the tower.
- Room lights
- This will turn the fluorescent lights along the walls of the fluoro room off and on.
- This will not turn off the bulb lights in the room.
- Horizontal lock
- This will prevent the fluoro tower from moving in the horizintal plane: left, right, towards the operator, and away from the operator.
- Vertical lock
- This will prevent fluoro tower from moving up and down (toward the patient and away from the patient).
- Field of view/magnification
- Pressing these will decrease the field of view which results in magnification of the image.
- Radiation dose increases as you decrease the field of view, so these should be used only when truly necessary.
- Store monitor
- Pressing this will save the image that is currently being displayed on the fluoro monitor.
- It will only save a single image.
- Store cine loop
- Pressing this will save the last session of fluoro, much like a video.
- You will know that the loop has saved when a white dot shows up in the upper left corner of the fluoro monitor.
- Rapid sequence on/off
- When this is lit, rapid seuqence images will be obtained when the spot image trigger is pulled.
- The fluoro machine will continue to take spot films until the trigger is released.
- Fluoro alarm
- Pressing this button will silence teh fluoro alarm.
- The alarm will sound when 5 minutes of fluoro time has elapsed.
- Compression cone
- Pressing this button will bring out a compression cone that can be sued to apply external compression to the patient.
- The compression is rarely used.
- Fluoro Handle
- Table tilt
- Pressing these will change the angle of the table.
- Table top movement
- These buttons will move the table top in the transverse and longitudinal directions.
- The movement will always occur as if the patient's head is on the operator's left. Even if the patien't head is on the operator's right, the table movement will occur as if the head is on the right (represented by the drawing on the button)
- Collimation
- This button will change the size of the collimated area.
- The up and down buttons control the top and bottom of the collimation field. Use them as if you are only moving the top side.
- The left and right buttons move the left and right of the collimation field. Use them as if you are only moving the left side.
- Fluoro button
- Pressing this button will turn the fluoro on.
- The fluoro will remain on as long as this button is pressed.
- Spot image trigger
- Pulling this button will capture a spot film.
- If the machine is set with rapid sequence off then only one image swill be captured, no matter how long the trigger is pulled.
- If the machine is set with rapid sequence on then the machine will continue to capture images until the trigger is released.
Cervical and Thoracic Barium Swallow
Return to Table of Contents
TL/DR
- Indications:
- Odynophagia
- Dysphagia
- Evaluation of hiatal hernia
- Evaluation of GERD
- Evaluation of previous surgery
- Exam Prep:
- Review the patient's past medical history
- Review the reason for exam
- Evaluate for any allergies to contrast material
- Confirm type of study (i.e., cervical vs thoracic vs both)
- Patient prep:
- NPO at midnight, including medications and smoking
- Materials:
- Thoracic swallow:
- thick barium
- EZ Gas (effervescent crystals)
- 10 mL water
- thin barium
- barium tablet
- Cervical swallow:
- thick barium
- Method—Cervical:
- Start with the patient in the upright lateral position.
- Ensure the fluoro machine is set to 4 images per second (rapid sequence).
- Explain to the patient that you are going to have them take a "comfortable mouthful" of barium and that they will need to hold it in their mouths until you count to 3.
- Make sure they understand that they are not to swallow until the count of 3.
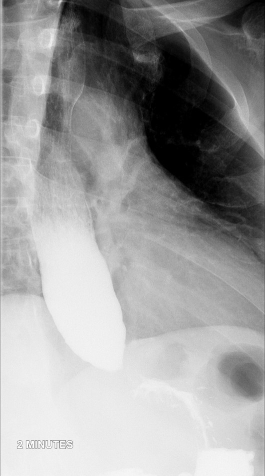
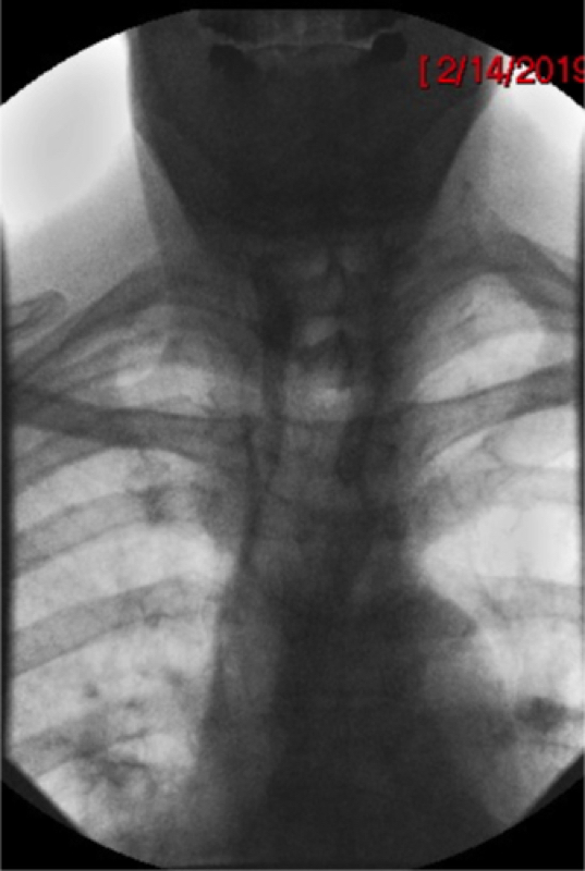
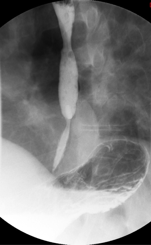
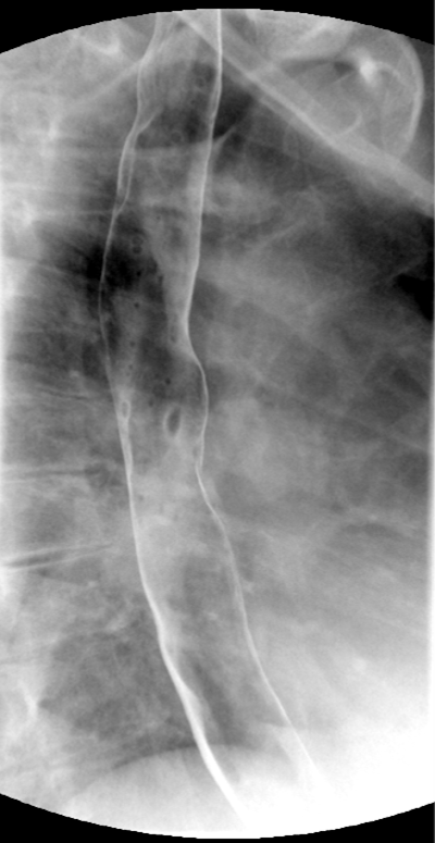
- Once the patient has taken the "comfortable mouthful" of barium, center the fluoroscope on the cervical esophagus.
- Once the fluoroscope is properly positioned, begin counting. On the count of 2, begin taking rapid sequence images of the contrast material bolus as it moves through the cervical esophagus
(key image 1)
- Take the fluoroscope off rapid sequence.
- With the patient in the lateral position, obtain a spot film of the pharynx and cervical esophagus while they phonate the letter "e"
(key image 2).
- Repeat steps 4-7 with the patient in the AP position
(key image 3)
(key image 4).
- Method—Thoracic:
- With the patient standing upright, have them turn into a left posterior oblique position.
- Instruct the patient that you will be handing them a cup containing a small amount of water and effevescent crystals and that they should drink it as quickly ask possible.
- As soon as the patietn has finished the water, exchange the empty cup for a cup of thick barium.
- Ask the patient to drink two (2) sips of thick barium. The patient does not need to drink this quickly.
- After the patient has begun drinking, take images of the upper and lower esophagus distended and coated with barium
(key image 5)
(key image 6)
(key image 7).
- Have the patient turn into the right posterior oblique position.
- Repeat steps 3 and 4, only this time the patient will take the barium in their right hand
(key image 8)
(key image 9)
(key image 10).
- After obtaining images with the bubbly barium mixture, lay the table horizontal (the patient will remain on the table while you do this).
- Once patient is in the supine position on the table, evaluate for gastroesophageal reflux. If necessary, have the patient raise their legs off the table (if able). You can also have the patient cough while their legs are raised.
- It is not necessary to obtain spot images while checking for reflux, but if reflux is seen, you may obtain an image to document it.
- Have the patient turn into the right anterior oblique position.
- If the patient is unable to lie in the right anterior oblique position, have them lie either supine or in a slight left posterior oblique.
- The technologist will give the patient a cup of thin barium with a straw. To evaluate esophageal motility, ask the patient to take one sip of barium and then swallow it in one swallow.
- Evaluate for escape of the contrast bolus as it moves to the distal esophagus and the presence of tertiary contractions.
- Next, have the patient take several sips of barium in a row.
- Obtain a spot image of the barium-filled GE junction
(key image 11).
- Lastly, have the patient take several additional sips of thin barium, and as the barium passes through the GE junction, have the patient “bear down.” Obtain a spot film of the barium-filled GE junction
(key image 12)
(key image 13)
- Discuss how to accomplish bearing down with the patient prior to the swallow.
- Method—Barium tablet (given at the end of the examination for both cervical and thoracic exams):
- Place the patient in the upright left posterior oblique or right posterior oblique position.
- Hand the patient the barium tablet and water and instruct the patient to take the tablet as they would with any other pill.
- If the tablet gets stuck, have the patient swallow additional water.
- If the tablet doesn't pass with an additional sip of water, have the patient sip thin barium.
- If the tablet remains stuck, obtain a spot film of its location
(key image 14)
(key image 15).
- Additionally, you may choose to wait approximately 5 - 10 minutes and reevaluate to see if barium tablet has passed.
- Notes:
- Because of the possibility of referred symptoms, when a patient complains of cervical dysphagia always perform a thoracic swallow in addition to a cervical swallow as the patient's symptoms may be originating from further down in the esophagus.
- Barium swallows are most often done for dysphagia.
- Patients should be strict NPO for at least 6 hours; this includes oral medications and water.
- Cervical images are obtained in the lateral and AP projections as the patient swallows thick barium.
- Cervical image are obtained using rapid sequence fluoroscopic spot films at a rate of 4 frames per second.
- To time this appropriately, you will count to 3. You will begin to take images on 2, the patient will swallow on 3.
- Thoracic images are obtained in the upright RPO and LPO projections after the adminstration of bubbly barium (EZ Gas followed by thick barium).
- The goal of these images is to see the thoracic esophagus distended and coated with barium. This may not be possible with one image and make take several to accomplish.
- Evaluations of esophageal motility and for hiatal hernia are done in the recumbent position, preferably in the LAO projection.
- When evaluating esophageal motiliy, save a cine loop.
- Administration of the barium tablet should be done at the end of the examination.
Timed Barium Swallow
Return to Table of Contents
TL/DR
- Indications:
- Esophageal dysmotility
- Achalasia
- Non-congruent manometry
- Patient prep:
- NPO at midnight (including medications and smoking).
- Chart review to determine HPI and reason for study.
- Materials (gathered by the technologist):
- 150mL of 45% weight/volume thin barium
- barium tablet
- Method:
- Place the patient in an upright LPO under the fluoroscope.
- Have the patient swallow the barium a period of 15 - 20 seconds.
- Obtain spot radiographs of the distal esophagus at 1, 2, and 5 minutes after ingestion of the barium
(key image 1)
(key image 2)
(key image 3).
- Ensure the distance between the patient and the fluoroscope is kept constant between all 3 radiographs.
- If the barium contrast material completely clears the esophagus at 1 or 2 minutes, do not take the subsequent spot images.
- If all contrast material has emptied from the thoracic esophagus the study is negative, proceed with a regular thoracic barium swallow.
- If contrast material remains in the thoracic esophagus, have the patient take some additional sips of thin barium obtaining images of the gastroesophageal junction as contrast material passes through it.
- You may need to take rapid sequence spot films or a last image hold to capture the gastroesophageal junction.
- Have the patient swallow the barium tablet. IF it does not pass through the GE junction into the stomach, obtain a fluoroscopic spot film.
- Patients will need to be able to stand upright for the procedure.
- Patients should drink the barium within approximately 30 seconds.
- Images are obtained in the upright LPO projection.
- Films are obtained 1 minute, 2 minutes, and 5 minutes after contrast material administration.
- If contrast has emptied from the thoracic esophagus on the one minute image, the 2 minute and 5 minute images are not needed.
- If the study is negative, proceed with a regular barium swallow.
- If th estudy is postitive, obtain additional images of the GE junction and administer the barium tablet.
Modified Barium Swallow
Return to Table of Contents
TL/DR
- Indications:
- Failed bedside swallow
- Recurrent pneumonia
- Concern for aspiration
- Exam Prep:
- Review the patient's past medical history
- Review the reason for exam
- Evaluate for any allergies to contrast material and/or food
- Patient Prep:
- None
- Materials (gathered by the tech and speech pathologist):
- Thin barium
- Thick barium
- Barium tablet
- Various food consistencies (brought by speech pathology)
- "Modified Chair"
- The back of this chair can be partially removed to allow it to fit within the fluoroscope.
- The back of the chair is also radiolucent so that AP images can be obtained.
- Method:
- Position the patient in the “modified” chair against the upright fluoroscopy table.
- Alternatively, the patient may be placed in a regular chair, as long as the fluoroscopy machine is able to fit around the patient and chair.
- Position the fluoroscope so that it is centered on the patient’s left shoulder.
- Collimate to ensure that you are showing the pharynx and larynx as well as the posterior oral cavity
(key image 1).
- Be sure the fluoroscope is set to 30 pulses per second, not 15.
- The speech pathologist will feed the patient different food consistencies mixed with barium.
- You will fluoro while the patient chews (when necessary) and swallows.
- It is important to keep the fluoro on until the patient has finished the entire bolus, or until the speech pathologist tells you the swallow is adequate.
- In room 12, approximately the last 30 seconds of fluoro will be saved. Once you have pressed the save button, a "storing fluoro loop" message will appear at the bottom of the screen. When this message disappears, you may fluoro again.
- In room 15, the loop can be any length of time and the loop will save almost immediately.
- In room 16, only the last 17 seconds of the fluoro will be saved. Once you have pushed the save button, a timer bar will appear on the screen showing how much time is remaining until the loop is saved. DO NOT FLUORO AGAIN UNTIL THE LOOP HAS BEEN SAVED.
- Sometimes, the speech pathologist may ask to view some swallows with the patient in the AP position.
- For AP views, center the fluoroscope on the patient’s neck and collimate to include the mouth and upper thoracic esophagus
(key image 2).
- Fluoro as you did with the patient in the lateral position.
- The speech pathologist may ask you to follow the bolus through the thoracic esophagus.
- Once the exam is completed, the technologist will annotate the images so that there is a record of what was material was administered for each swallow.
- If the examination was done in room 15 or 16, the technologist will create a reference image that will contain a list of all the materials administered.
- This study is conducted mostly by the speech pathologist.
- If you are unsure of when to turn off the fluoro, ask the speech pathologist.
- You must save the cine loop before fluoroing again. If you do not save it, you can't go back and access it.
Upper GI, Double Contrast
Return to Table of Contents
TL/DR
- Indications:
- Abdominal pain
- Nausea
- Vomiting
- Dyspepsia
- Early satiety
- Exam Prep:
- Patient should be strict NPO at midnight (including medications and smoking)
- Perform a chart review
- Review the patient's past medical history
- Review the reason for exam
- Evaluate for any allergies to contrast material
- Materials (gathered by technologist):
- 0.2 mL glucagon (optional depending on attending preference)
- 1 mL syringe with needle (for glucagon administration)
- 10 mL water
- EZ Gas (effervescent crystals)
- thick barium
- Thin barium
- Compression paddle
- Leaded glove/mitten
- Methods:
- Have the patient lie supine on the fluoroscopy table. In not administering glucagon, skip to step 4.
- Administer glucagon intravenously (if requested by the attending).
- To avoid nausea, glucagon should be administered very slowly, approximately 1mL/minute.
- After injection, stand the table upright.
- With the table in the upright position, have them turn into a left posterior oblique position.
- Instruct the patient that you will be handing them a cup containing a small amount of water and effevescent crystals and that they should drink it as quickly ask possible.
- As soon as the patietn has finished the water, exchange the empty cup for a cup of thick barium.
- Ask the patient to drink two (2) sips of thick barium. The patient does not need to drink this quickly.
- After the patient begins drinking, obtain images of the upper and lower esophagus fully distended with barium:
(key image 1)
(key image 2).
- Have the patient turn to the right posterior oblique position.
- Repeat step 7 with the patient taking the cup of barium in their right hand:
(key image 3)
(key image 4)
(key image 5).
- Have the patient stand with their back against the table; once the patient is in this position, lay the table flat.
- Once the table is horizontal, have the patient make three turns on the table (log roll) starting by turning toward you.
- By rolling on the table, the barium will coat the patient's stomach.
- If the patient is unable to perform a complete roll on the table, have them roll onto their left side, then rock them back and forth several times. Repeat this with the patient on their right side.
- Place the patient in the left lateral or steep left posterior position.
- You will then take 4 spot films of the different parts of the stomach, focusing on the portion of the stomach that is filled with air:
- Left posterior oblique (or left lateral) to include the antrum
(key image 6)
- Supine to include the inferior portion of the gastric body
(key image 7)
- Right lateral to include the fundus
(key image 8)
- Right posterior oblique to include the superior portion of the gastric body
(key image 9)
- Have the patient make another log roll on the table (if possible) and have them stop in the left lateral or steep left posterior oblique position.
- Obtain 4 spot films of the entire stomach in the following positions:
- Left posterior oblique
(key image 10)
- Supine
(key image 11)
- Right lateral
(key image 12)
- Right posterior oblique
(key image 13)
- Have the patient move into the right anterior oblique position.
- Slide a compression paddle under the patient (balloon deflated) so that it is positioned on the duodenal bulb.
- There is a radiopaque ring on the paddle that will help you determine the center of the paddle.
- Inflate the bulb on the compression paddle and obtain single contrast compression spot films of the duodenal bulb and the C loop
(key image 14)
(key image 15)
(key image 16)
(key image 17)
(key image 18).
- Have the patient lie on their back. Raise the table into the upright position.
- Some patients may experience dizziness as the table is raised.
- If necessary, lock the fluoro tower so that the patient may steady themselves on it.
- Move the compression cone (on the fluoro machine) in front of the patient.
- Use the compression cone to obtain 3 single contrast compression images of the stomach. Position the part of the stomach you are compressing against the spine. This allows for both anterior and posterior compression.
- Slight left posterior oblique to include the antrum:
(key image 19)
- Supine to include the inferior body:
(key image 20)
- Slight right posterior oblique to include the mid/superior body:
(key image 21)
- Have the patient turn so that their left side is against the table.
- With the patient in that position, lay the table horizontal.
- Once the table is horizontal, obtain spot images of an air filled duodenal bulb. Placing the patient in a slightly steep left posterior oblique is usually best for obtaining these images.
(key image 22)
(key image 23)
(key image 24)
(key image 25)
- Have the patient lie supine.
- Evaluate for gastroesophageal reflux.
- If reflux is not immediately seen, have the patient raise their legs off the table.
- You may also have the patient cough while their legs are raised.
- After evaluating for gastroesophageal reflux, have the patient turn to the right anterior oblique position.
- If the patient is unable to lie in the right anterior oblique position, have them lie supine or in a slight left posterior oblique position so that the GE junction is seen well.
- The technologist will give the patient a cup of thin barium with a straw. To evaluate esophageal motility, ask the patient to take one sip of barium and then swallow it in one swallow.
- Evaluate for escape of the contrast bolus as it moves to the distal esophagus and the presence of tertiary contractions.
- Next, have the patient take several sips of barium in a row and obtain a spot image of the barium-filled GE junction
(key image 26).
- Again, have the patient take several additional sips of barium. As the barium passes through the GE junction, have the patient perform the Valsalva maneuver or "bear down." As the patient "bears down," obtain a spot image of the distal esophagus, GE junction, and proximal stomach
(key image 27).
- Ask the technologist to obtain a post-procedure abdominal radiograph
(key image 28).
- This study is done to evaluate for causes of abdominal pain, nausea, vomiting, early satiety, and dyspepsia.
- Patients should be strict NPO since midnight the previous evening. This includes oral medications and water.
- It is not performed as often as it once was as it has been replaced by endoscopy.
- A true upper GI examination consists of obtaining images of the thoracic esophagus, stomach, and duodenum.
- The exam will start like a thoracic barium swallow.
- The patient should be instructed not to belch during the examination. This will keep the air in the stomach and allow for distension.
- If the stomach is under distended, have the patient drink additional crystals.
- Enough images should be obtained to show every surface of the stomach in double contrast. This is best accomplished by obtaining images in the following positions while the patient is supine: LPO projection, supine, right lateral, and RPO projection.
- If a tablet needs to be administered, this should be done at the very end of the examination, after the post study overhead radiograph.
Upper GI, Roux-en-y
Return to Table of Contents
TL/DR
- Indications:
- Post-surgical evaluation
- Symptomatic with surgical history
- Exam Prep:
- Patient should be strict NPO at midnight (including medications and smoking)
- Perform a chart review
- Review the patient's past medical history
- Review the details regarding the surgery: date of surgery, complications, etc.
- Review the reason for the exam
- Evaluate for any allergies to contrast material
- Materials (gathered by technologist):
- water soluble contrast material
- Should be used in immediate post-op patients or when there is a suspicion for a leak, or if the patient may have procedure in the immediate future (surgery, EGD, etc.).
- barium
- If the patient is currently eating and drinking normally, and if the patient is not scheduled for a procedure (surgery, EGD, etc.) in the immediate future, barium should be used.
- If the patient has been drinking carbonated beverages, bubbly barium can be used.
- If the patient has not been drinking carbonated beverages, proceed with thin barium.
- Method:
- The technologist will obtain a scout radiograph to include the upper abdomen. Evaluate for the location of the surgical chain sutures
(key image 1).
- There are usually two "sets" of surgical chain sutures.
- The first is located in the epigastric area at the level of the gastrojejunal anastomosis.
- The second is usually located in the left midabdomen. This is the site of the jejunojejunal anastomosis.
- If using water soluble contrast material or thin barium, start with the patient in the semi-recumbent position with the table tilted 30-45 degrees. If using bubbly barium, start in the upright position.
- Position the patient in the right posterior oblique position and have the patient take a sip of contrast material.
- Obtain a spot film of the contrast material filling the gastric pouch and proximal roux limb
(key image 2).
- Repeat steps b and c except have the patient positioned in the left posterior oblique position
(key image 3).
- If necessary, repeat with the patient in the supine position
- The technologist will take a post procedure radiograph to evaluate the upper abdomen
(key image 4).
- If the contrast material has not progressed beyond the jejunojejunal anastomosis on the first radiograph, have the technologist obtain a delayed radiograph (more than one may be needed). Once the contrast has progressed past the jejunojejunal anastomosis, the procedure is complete
(key image 5)
(key image 6)
(key image 7).
- It is preferable that patients are strict NPO for the 6 hours before the exam. This includes oral medications and water.
- Patients should only be given bubbly barium if they are currently drinking carbonated beverages.
- If there is a concern for a leak or if there is the possibility for urgent intervention (surgery, scope, etc.) use water soluble contrast material.
- Image the patient in the semi-upright supine, LPO, and RPO projections.
- If the patient has complaints of dysphagia, be sure to evaluate the esophagus.
- A full upper GI on a patient with this surgery will include images of the contrast as it passes beyond the jejunojejunal anastomosis.
- If a barium tablet is to be adminsitered, do this at the very end of the exam after all other images have been obtained.
Upper GI, Gastric Sleeve
Return to Table of Contents
TL/DR
- Indications:
- Post-surgical evaluation
- Symptomatic with surgical history
- Exam Prep:
- Patient should be strict NPO at midnight (including medications and smoking)
- Perform a chart review
- Review the patient's past medical history
- Review the details regarding the surgery: date of surgery, complications, etc.
- Review the reason for exam
- Evaluate for any allergies to contrast material
- Materials (gathered by technologist):
- water soluble contrast material
- Should be used in immediate post-op patients or when there is a suspicion for a leak, or if the patient may have procedure in the immediate future (surgery, EGD, etc.).
- barium
- If the patient is currently eating and drinking normally, and if the patient is not scheduled for a procedure (surgery, EGD, etc.) in the immediate future, barium should be used.
- If the patient has been drinking carbonated beverages, bubbly barium can be used.
- If the patient has not been drinking carbonated beverages, proceed with thin barium.
- Methods:
- The technologist will take a scout radiograph to include the upper abdomen. Evaluate for the location of the surgical chain sutures
(key image 1).
- If using water soluble contrast material or thin barium, start with the patient in the semi-recumbent position with the table tilted 30-45 degrees. If using bubbly barium, start in the upright position.
- Position the patient in the right posterior oblique position.
- Have the patient take a sip of contrast material.
- Obtain a spot film of the contrast material-filled sleeve
(key image 2)
(key image 3).
- Repeat steps d and e, except have the patient in the left posterior oblique position
(key image 4)
(key image 5).
- If necessary, repeat with the patient in the supine position.
- The technologist will then take a post-procedure overhead radiograph to evaluate the upper abdomen
(key image 6).
- If contrast material has emptied from the stomach, the exam is finished.
- If contrast material has not yet emptied from the stomach, obtain a delayed radiograph to evaluate gastric emptying.
- It is preferable that patients are strict NPO for the 6 hours before the exam. This includes oral medications and water.
- Patients should only be given bubbly barium if they are currently drinking carbonated beverages.
- If there is a concern for a leak or if there is the possibility for urgent intervention (surgery, scope, etc.) use water soluble contrast material.
- Begin imaging the patient in the semi-upright supine, LPO, and RPO projections. If contrast material is slow to progess through the sleeve, you may stand the patient further upright.
- If the patient is in the immediate post-op period, ensure there is empting of the stomach.
- If the patient has complaints of dysphagia, be sure to evaluate the esophagus.
- If the barium tablet needs to be administered, do this at the very end of the examination after all other images have been obtained.
Upper GI, Esophagectomy
Return to Table of Contents
TL/DR
- Indications:
- Post-surgical evaluation
- Symptomatic with surgical history
- Exam Prep:
- Patient should be strict NPO at midnight (including medications and smoking)
- Perform a chart review
- Review the patient's past medical history
- Review the details regarding the surgery: date of surgery, complications, etc.
- Review the reason for exam
- Evaluate for any allergies to contrast material
- Materials (gathered by technologist):
- water soluble contrast material
- Should be used in immediate post-op patients, when there is a suspicion for a leak, and/or if the patient is scheduled for a procedure (surgery, EGD, etc.).
- thin barium
- Should be used if the patient is eating a normal diet, there is no suspicion for a leak, and/or the patient is not scheduled for a procedure (surgery, EGD, etc.)
- Method:
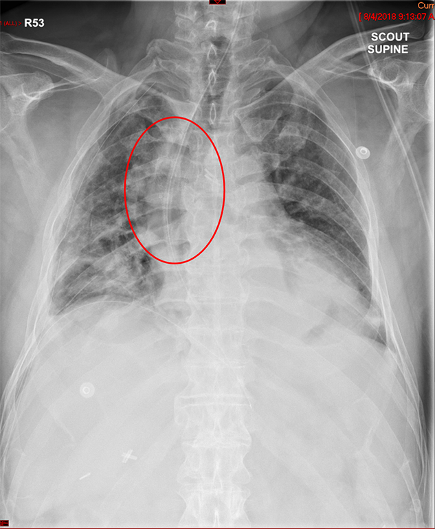
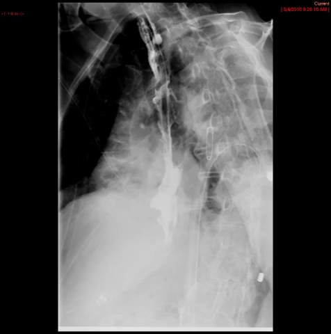
- The technologist will obtain a scout radiograph(s) to include the chest and upper abdomen to determine the location of the surgical chain sutures or surgical staples
(key image 1).
- The esophagogastric anastomosis is usually located at the level of the aortic arch or just below it.
- Begin the exam with the patient in the semi-recumbent position with the table tilted 30-45 degrees.
- Position the patient in the right posterior oblique position and center the fluoroscope over the esophagogastric anastomosis.
- Set the machine to record rapid sequence spot films at 4 images per second.
- Inform the patient that you are going to have them take a sip of contrast material, but they are to hold it in their mouth and not swallow until you count to three.
- After the patient has taken the sip of contrast material, quickly confirm the fluoro machine is centered over the esophagogastric anastomosis. Begin counting and start taking rapid sequence spot films on the count of two. Obtain images as the contrast material bolus moves through the anastomosis
(key image 2).
- Repeat steps e and f with the patient in the left posterior oblique position
(key image 3).
- If necessary, repeat with the patient in the supine position.
- If the patient is in the immediate post-op period, you will then evaluate the cervical esophagus for leak. Place the patient in the supine/AP position and center the fluoroscope over the cervical spine/esophagus.
- If you are able to view both the cervical esophagus and esophagogastric anastomosis within the same field of view, an additional cervical swallow is not necessary.
- Again, instruct to take a sip of contrast material but not to swallow it. Let them know that you will count to three, and that they should swallow on three.
- After the patient has taken a sip of contrast material, quickly confirm you are centered over the cervical esophagus with fluoroscopy. Begin counting and start taking rapid sequence spot films on the count of two. Obtain images as the contrast bolus moves through the cervical esophagus
(key image 4).
- Repeat step k with the patient in the lateral position
(key image 5).
- Obtain images of contrast material as it moves through the pylorus.
(key image 6).
- The technologist will then obtain a post-procedure overhead of the chest.
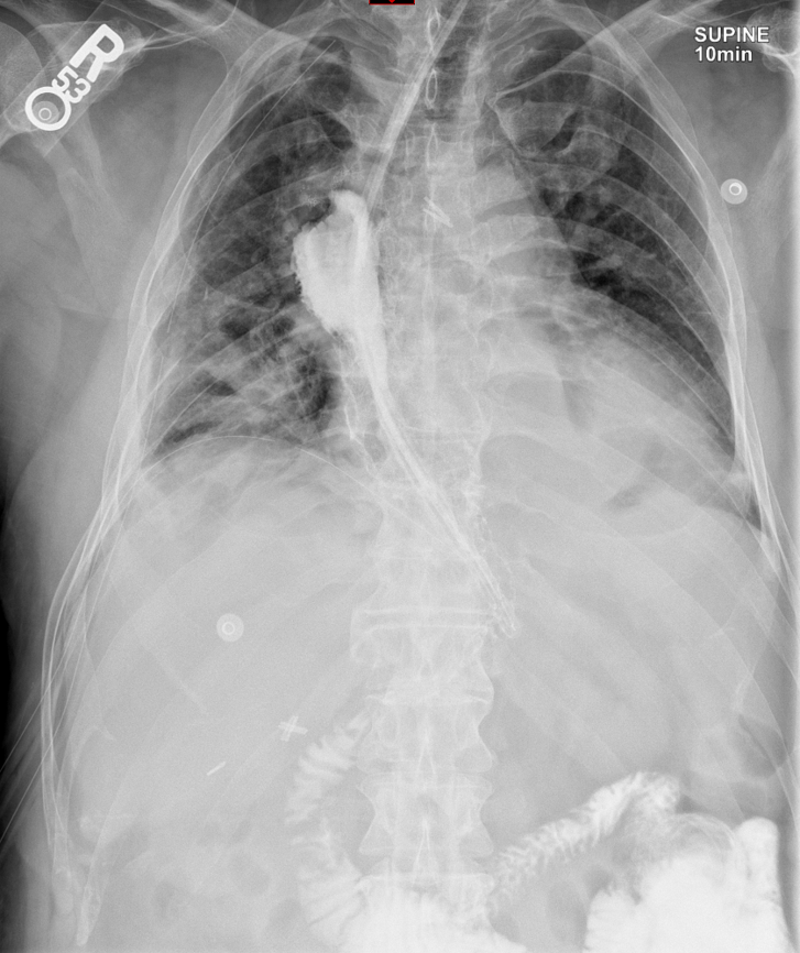
(key image 7).
- If there is delayed emptying of the stomach, have the technologist obtain this overhead before waiting for pyloric emptying.
- The technologist will obtain a delayed image to evaluate if contrast material has progressed from the stomach and past the jejunal feeding tube
(key image 8).
- The exam is not considered complete until contrast material is seen beyond the jejunal feeding tube.
- If there is delayed passage of contrast material, then the patient may be sent back to his or her room. Be sure to contact the primary team to ask them to obtain additional delayed radiographs.
- It is preferable that patients are strict NPO for the 6 hours before the exam. This includes oral medications and water.
- If there is a concern for a leak or if there is the possibility for urgent intervention (surgery, scope, etc.) use water soluble contrast material.
- Begin imaging the patient in the semi-upright supine, LPO, and RPO projections. If contrast material is slow to progess through the esophagogasrtic anastomosis, you may stand the patient further upright.
- If the patient is in the immediate post-op period, obtain rapid sequence spot films of the cervical esophagus as well.
- Images of the cervical esophagus and esophagogastric anastomosis should be obtained using rapid sequence fluoroscopic spot films.
- Include spot image of contrast material progressing through the pylorus.
- If the barium tablet needs to be administered, do this at the very end of the examination after all other images have been obtained.
Upper GI, Fundoplication/Hernia Reduction
Return to Table of Contents
- Indications:
- Post-surgical evaluation
- Symptomatic with surgical history
- Exam Prep:
- Patient should be strict NPO at midnight (including medications and smoking)
- Perform a chart review
- Review the patient's past medical history
- Review the details regarding the surgery: date of surgery, complications, etc.
- Review the reason for exam
- Evaluate for any allergies to contrast material
- Materials (gathered by technologist):
- Water soluble contrast material
- Should be used in immediate post-op patients, when there is suspicion for a leak, and/or if the patient will be having a procedure (EGD, surgery, etc.).
- Barium
- Should be used if the patient is eating a normal diet, there is no suspicion for a leak, and/or the patient is not scheduled for a procedure (surgery, EGD, etc.).
- If the patient has been drinking carbonated beverages, bubbly barium can be used.
- If the patient has not been drinking carbonated beverages, proceed with thin barium.
- Method:
- The technologist will obtain a scout radiograph of the lower chest and upper abdomen
(key image 1).
- If using water soluble contrast material or thin barium, start with the patient in the semi-recumbent position with the table tilted 30-45 degrees. If using bubbly barium, start in the upright position.
- Position the patient in the right posterior oblique position.
- Have the patient take a sip of contrast material.
- Obtain spot images of the contrast material as it moves through the distal thoracic esophagus and GE junction
(key image 2)
(key image 3).
- Repeat steps d and e, with the patient in the left posterior oblique position
(key image 4).
- If necessary, repeat steps d and e with the patient in the supine position.
- Turn the patient to the right lateral position to ensure the contrast material empties from the stomach
(key image 5).
- The technologist will then take a post-procedure overhead radiograph to evaluate the upper abdomen
(key image 6).
- If contrast material has emptied from the stomach, the exam is finished.
Small Bowel Follow Through
Return to Table of Contents
- Indications:
- Rectal bleeding
- Abdominal pain
- Chronic diarrhea
- History of abdominal surgeries
- History of IBD
- Exam Prep:
- Patient should be strict NPO at midnight (including medications and smoking)
- Perform a chart review
- Review the patient's past medical history
- Review the reason for exam
- Evaluate for any allergies to contrast material
- Materials (gathered by technologist):
- thin barium
- Compression paddle and/or F spoon
- leaded glove/mitten
- Method:
- Verify NPO status.
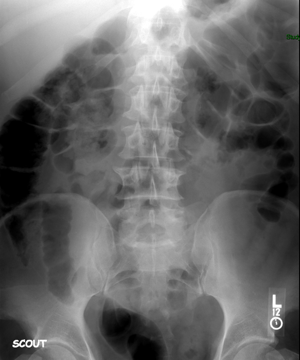
- The technologist will obtain a scout image. Assess the image for any possible contraindications such as pneumoperitoneum, evidence of ileus or obstruction, or residual contrast material
(key image 1).
- If no contraindication, let the technologist know it is okay to proceed.
- The patient will be given a cup of thin barium.
- Once 15 minutes has passed since the patient drank the barium, the technologist will obtain a prone (if possible) radiograph
(key image 2).
- Prone positioning is preferred because while lying prone, the weight of the body provides compression of the bowel loops.
- The film should include the entire stomach as well as the bowel that is filled with contrast.
- You will now be waiting for barium to reach the large bowel.
- The technologist will obtain radiographs at 30, 45, and 60 minutes after the initial administration of barium. If the column of contrast material has not reached the large bowel on the 60 minute film, the technologist will obtain images every 30 minutes until contrast can been seen in the cecum
(key image 3)
(key image 4)
(key image 5).
- The technologist will have you review every image.
- If the patient’s stomach has emptied, have the patient drink more barium so as to keep a column of barium moving through the bowel. If the patient has a small body habitus, the barium may be diluted so it will appear less dense on the radiograph
- Review each image for any abnormalities; obtain spot films if necessary.
- Once the barium has reached the small bowel, you will go into the room and obtain spot images of the contrast material filled small bowel.
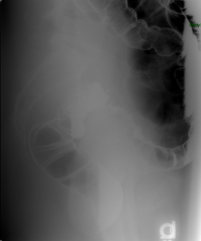
- Obtain images of the terminal ileum and the ileocecal valve filled with contrast material
(key image 6)
(key image 7)
(key image 8)
(key image 9)
(key image 10).
- Obtain spot images of the remainder of the small bowel
(key image 11)
(key image 12)
(key image 13)
(key image 14).
- Obtain images of all four quadrants. Use the compression paddle to separate loops of small bowel from each other.
- Evaluate for tethering of small bowel to any other structures.
- Observe for small bowel peristalsis.
- Once you have obtained all the necessary spot images, the technologist will send the images to PACS.
- Review the images with attending. If no additional images are needed the exam is complete.
Single Contrast Enema (barium or water-soluble)
Return to Table of Contents
- Indications:
- Patient under 40 years of age with abdominal signs or symptoms (pain, bloating, constipation, gynecologic mass, etc.) not particularly suggestive for mucosal polyps, colitis, or bleeding
- Suspected diverticulitis
- Bowel not prepared but limited exam request to verify or exclude colon obstruction, volvulus, appendicitis, fistula, etc.
- Uncooperative, disabled, elderly, or very ill patient unable to tolerate or perform the maneuvers for a double contrast study
- Concern for bowel perforation
- Post-operative evaluation
- Contraindications:
- Water-soluble contrast can be administered for almost any patient. Do not use barium if any of the following are suspected:
- Suspected acute perforation
- Acute, fulminant colitis
- Acute diverticulitis
- Immediately post-biopsy
- Patient prep:
- Patient prep is not always needed.
- If the patient has a diverting ostomy, bowel prep is only needed if the contrast material will be administered retrograde via the ostomy. If the contrast material will be administered retrograde from the rectum, a prep is not needed.
- If a bowel prep is needed, see below:
- day prior to exam
- beginning in the morning, only clear liquids that are not red
- no solid food, no dairy products or creamers
- drink at least 64 oz of water throughout the day
- 5:30pm drink one 10oz bottle of magnesium citrate followed by a glass of water
- 7:30pm take 4 bisacodyl tablets with a glass of water
- NPO to everything after 9pm
- day of exam
- NPO after midnight
- 2 hours before exam, patient will place a bisacodyl suppository (this is not needed if the patient has an ostomy)
- Materials (gathered by the technologist):
- single contrast enema bag
- single contrast enema tip or pediatric enema tip
- If the patient has had recent anal or rectal surgery or has not been using their distal colon because of a diverting ostomy, the pediatric tip should be used.
- lubricating jelly
- single puff insufflator (white)-only needed if using the balloon enema tip
- clamps
- compression paddle and/or F spoon
- leaded glove/mitten
- Method:
- The technologist will obtain a scout radiograph (key image 1). Assess the radiograph for any possible contraindications to performing the examination.
- Once you have determined it is ok to proceed with the examination, have the patient lie in the Sims position.
- Lubricate the enema tip then place it gently into the patient's rectum.
- If using a balloon enema tip, DO NOT inflate the balloon.
- Move the fluoroscope over the patient.
- Obtain a fluoroscopic spot film of the rectal area with the tip in place but before any contrast material has been administered.
- When ready, the technologist will infuse some contrast material into the rectum
(key image 2)
(key image 3).
- When using a balloon enema tip: After the rectum has become distended with contrast material, use the white insufflator to inflate the balloon on the enema tip. The technologist will clamp the balloon for you
(key image 4).
- Continue to slowly instill contrast material until the rectosigmoid has become fully distended with contrast material. Obtain spot images of rectosigmoid colon with the patient in both the right posterior and left posterior obliques
(key image 5).
- Proceed to instill contrast material into the colon until the contrast material has reached the cecum and the colon appears fully distended.
- It may be necessary to move the patient into different positions to facilitate the progression of contrast material
- Intermittently look with the fluoroscope while the contrast material moves through the colon. As areas of the colon become distended with contrast material, obtain spot images
(key image 6)
(key image 7)
(key image 8)
(key image 9).
- Be sure obtain images of the entire contrast material filled colon.
- To obtain optimal images of the splenic flexure, place the patient in an RPO or LAO position
(key image 10).
- To obtain optimal images of the hepatic flexure, place the patient in an LPO or RAO position
(key image 11).
- To obtain optimal images of the cecum, use of the compression paddle may be necessary.
- Once you have obtained spot images of the entire colon, the technologist will then obtain the post study overhead radiographs:
- AP or PA position to include the entire colon. PA is preferable if the patient can tolerate (it may be necessary to take more than one image to image the whole colon)
(key image 12)
(key image 13).
- PA angle (35 degrees caudal) and patient 15 degrees right anterior oblique OR AP angle (35 degrees cephalad) and patient 15 degrees left posterior oblique to include the rectosigmoid colon. Patient should be placed in the RAO position if possible
(key image 14).
- Right posterior oblique (~45 degrees) to include the splenic flexure
(key image 15).
- Left posterior oblique (~45 degrees) to include the hepatic flexure
(key image 16).
- Lateral rectum
(key image 17).
- The technologist will send all the overhead images to PACS, as well as the spot images taken during the exam. Review these images with the attending.
- This should be done in a slightly expedited manner as the patient will most likely be uncomfortable from the contrast material
- Once it has been determined that no additional images are needed, the technologist will remove the enema tip and have the patient go to the restroom to evacuate the contrast material.
- When the patient has finished using the restroom, the technologist will obtain a post evacuation overhead radiograph
(key image 18)
(key image 19).
- For most patients only an AP radiograph is needed; however, additional images may be needed based on the patient's history or findings during the examination.
- Modifications:
- Colorectal anatomosis after low anterior resection/sigmoid resection
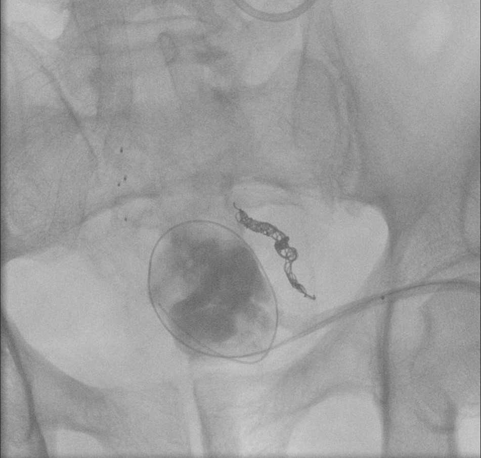
- During this examination, special attention should be paid to the anatomosis. When reviewing the scout image, look for surgical chain sutures in the pelvis
(key image 20)
(key image 21).
- After the enema tip has been placed but before contrast material has been administered, obtain a fluoroscopic spot film of the rectum with the patient in the left lateral position
(key image 22).
- As you instill contrast material into the rectum, obtain images of the anastomosis with the colon fully distended in each of the following four (4) positions:
- left lateral
(key image 23)
- left posterior oblique
(key image 24)
- supine (AP)
(key image 25)
- right posterior oblique
(key image 26).
- It is important to obtain these images before the colon fills completely. Once contrast material reaches the cecum and/or small bowel, it may obscure the area of the anastomosis.
- Once the above four (4) images have been obtained, you may proceed with obtaining images of the remainder of the colon.
- Hartmann's Pouch
- During this examination, you will only fill a small piece of colon, the Hartmann's pouch.
- The pouch can vary in length, but usually does not extend beyond the pelvis.
- Once you have completely filled the pouch, obtain images of the entire pouch in each of the following four (4) positions:
- left lateral
(key image 27)
- left posterior oblique
(key image 28)
- supine
(key image 29)
- right posterior oblique
(key image 30).
- Ileoanal J Pouch
- The iloeanal J pouch is created when patients have a total proctocolectomy.
- During this exam, you will focus on the bowel in the pelvis.
- When reviewing the preliminary scout film, you should see multiple surgical chain sutures in the pelvis
(key image 31)
(key image 32).
- After the enema tip has been placed but before contrast material has been administered, obtain a fluoroscopic spot film of the rectum with the patient in the left lateral position
(key image 33).
- As you instill contrast material into the J pouch, obtain images of the pouch and ileoanal anastomosis fully distended with contrast material in each of the following four (4) positions:
- left lateral
(key image 34)
- left posterior oblique
(key image 35)
- supine (AP)
(key image 36)
- right posterior oblique
(key image 37).
- Contrast material may be seen filling the ostomy bag (if present) before all images have been obtained. If this happens, proceed to take the needed images, adjusting the postion of the ostomy bag if needed.
- Other colon surgeries
- If the patient has had surgery on any other part of the colon, be sure to focus on the anastomosis.
- Look for surgical chaing sutures on the scout image and be sure to image that area fully.
- Notes:
- If the patient has had surgery on his or her colon, all 5 post-study images may not be needed. Cater the images obtained based on the amount and location of colon remaining.
- If the patient has had a right colectomy, the left posterior oblique image may not needed.
- If the patient has had a tolal proctocolectomy or has a Hartmann's pouch, both the right posterior oblique and left posterior obliue may not be needed.
Double Contrast Barium Enema
Return to Table of Contents
- To note:
- Double contrast barium enema (DCBE) examinations have mostly been replaced by colonoscopy, either conventional or virtual, however DCBE examinations are still ordered occasionally.
- When reviewing an order for a DCBE, evaluate to see if the patient has had a failed colonoscopy or if colonoscopy is contraindicated.
- It may be necessary to discuss the examination with the ordering physician to see if a more sensitive alternative exam should be performed first.
- Indications:
- Rectal bleeding (gross or occult)
- Polyps (suspected or known)
- Carcinoma (suspected or known)
- IBD (suspected or known)
- Patient is greater than 40 years old who requires a barium enema and who can cooperate and turn over without assistance.
- Contraindications:
- Suspected acute perforation
- Acute, fulminant colitis
- Immediate post-biopsy
- Patient prep:
- Day prior to exam
- beginning in the morning, only clear liquids that are not red
- no solid food, no dairy products or creamers
- drink at least 64 oz of water throughout the day
- 5:30pm drink one 10oz bottle of magnesium citrate followed by a glass of water
- 7:30pm take 4 bisacodyl tablets with a glass of water
- NPO to everything after 9pm
- Day of exam
- NPO after midnight
- 2 hours before exam, patient will place a bisacodyl suppository
- Materials (gathered by technologist):
- double contrast enema bag with attached double contrast enema tip
- single puff insufflator (white)
- multi-puff insufflator (blue)
- clamps
- compression paddle and/or F spoon
- leaded glove/mitten
- Method:
- The technologist will obtain a scout image
(key image 1).
- Review the scout image, looking for any contraindications to performing the procedure (pneumoperitoneum, pneumatosis, etc.).
- Once you have determined it is ok to proceed with the examination, have the patient lie in the Sims position.
- Lubricate the enema tip then place it gently into the patient's rectum.
- Move the fluoroscope over the patient.
- When ready, the technologist will infuse some of the barium into the rectum.
- Using real time fluoro, evaluate to see if the patient's rectum is distended with barium. If distended, use the white insufflator to inflate the balloon on the enema tip while watching with real time fluoro. The technologist will clamp the balloon for you.
- The technologist will continue to infuse the barium. Once all the barium has been infused, the technologist will clamp the enema tubing.
- Begin SLOWLY insufflating air into the colon using the blue insufflator. Air should be insufflated no quicker than one puff per second.
- Insufflating the air too quickly can cause abdominal cramping for the patient.
- In some instances, insufflating air too quickly can also cause the air to move ahead of the barium within the colon creating an air-lock and the barium will not progress throughout the entire colon.
- Place 5 puffs of air with the patient in each of these positions
(key image 2).
- left lateral
- LAO
- prone
- RAO
- right lateral
- RPO
- supine
- left lateral
- prone
- Once you have completed air insufflation, evaluate to see if the barium has reached the ascending colon. If it has, proceed step k. If it has not, perform the following:
- Modification 1
- Have the patient turn 360 degrees in each direction.
- With the patient in the prone position, look with fluoroscopy to see if barium has now reached the ascending colon. If it has, proceed with Step k. If it has not, proceed with Modification 2.
- Modification 2
- Pour 1 liter of thin barium into the empty enema bag.
- Slowly instill this thin barium so that it may act as a "plunger" and move the thicker barium into the ascending colon.
- Once the thinner barium reaches the cecum, resume with step k.
- Raise the head of the table to 45 degrees.
- The technologist will unclamp the enema tubing and allow the excess barium and air to drain out of the rectosigmoid colon.
- Once drainage has stopped, the technologist will clamp the tubing.
- Turn the table horizontal again.
- Slowly insufflate enough air to distend the rectosigmoid colon.
- Obtain spot images of the recto-sigmoid colon with the patient in the left posterior oblique and right posterior oblique positions
(key image 3)
(key image 4).
- Have the patient roll onto their left side and raise the head of the table to 75 degrees.
- The technologist will unclamp the tubing and allow excess barium to drain.
- Obtain images of the hepatic and splenic flexure with the patient in the left anterior oblique and right anterior oblique positions
(key image 5)
(key image 6).
- The technologist will clamp the enema tubing. Turn the table back to horizontal and have the patient roll onto their left side.
- Place the table in Trendelenburg 10 degrees.
- Obtain a spot image of the cecum with the patient in supine or right posterior oblique position
(key image 7).
- One last time turn the table to upright 45 degrees.
- The technologist will unclamp the enema tubing and allow excess barium to drain. When done, the technologist will re-clamp the tubing.
- Turn the table into horizontal position.
- Slowly insufflate enough air to distend the colon.
- The technologist will obtain post study overhead radiographs:
- PA to include the entire colon
(key image 8)
- PA angle (35 degrees caudal), patient positioned in slight RAO (~15 degrees), to include the rectosigmoid colon
(key image 9)
- RPO (~45 degrees), to include the splenic flexure
(key image 10)
- LPO (~45 degrees), to include the hepatic flexure
(key image 11)
- AP angle (35 degrees cephalad), patient positioned in slight LPO (~15 degrees), to include the rectosigmoid colon
(key image 12)
- Right decubitus, to include the entire colon
(key image 13)
- Left decubitus, to include the entire colon
(key image 14).
- The technologist will remove the enema tip just prior to taking this film.
- Cross table lateral (patient prone) to include the rectum
(key image 15)
- After the technologist has obtained the post-procedure images, the patient will be allowed to visit the restroom to evacuate the barium and air.
- Review the images with the attending to ensure examination completeness. If no additional images are needed, the patient may go.
Defecography
Return to Table of Contents
- Indications:
- Obstipation
- Suspected rectal intussusception or prolapse
- Feeling of incomplete evacuation or anal blockage
- Rectal tenesmus
- Fecal incontinence or soiling
- Patient prep:
- Day prior to exam
- beginning in the morning, only clear liquids that are not red
- no solid food, no dairy products or creamers
- drink at least 64 oz of water throughout the day
- 5:30pm drink one 10oz bottle of magnesium citrate followed by a glass of water
- 7:30pm take 4 bisacodyl tablets with a glass of water
- NPO to everything after 9pm
- Day of exam
- NPO after midnight
- Materials (gathered by technologist):
- defecography chair
- stretcher
- 300mL thin barium
- 150 mL barium paste divided evenly in 5 funnel tip syringes
- enema tip with tubing attached
- caulk gun (to administer contrast)
- Method:
- Confirm that the patient had an adequate bowel prep.
- The technologist will have the patient drink approximately 300mL of thin barium.
- This barium will fill the small bowel so that it will be visible during the exam.
- Begin the exam approximately 20 - 30 minutes after the administration of the thin barium.
- During this time (if able), conduct a private interview with the patient, discussing the details of the anorectal problem and the purpose of the exam. The exam can be embarrassing and overwhelming for the patient and this can help put the patient at ease.
- When adequate time has passed from the barium ingestion, have the patient sit on the defecography chair as they would normally sit on the toilet.
- With the patient seated on the defecography chair, obtain a scout image of the rectum and pelvis.
(key image 1). Be sure to include:
- the sacrum posteriorly
- the pubic symphysis anteriorly
- approximately 5cm below the skin surface of the perineum
- This extra room inferiorly will able you to view any prolapse that may occur without having to move the fluoro machine.
- the centimeter marker on the commode
- the barium-filled small bowel superiorly
- After obtaining the scout image, lock the fluoro tower in place.
- Do not move the tower after you have taken the scout image.
- This will ensure that you are able to measure descent of the pelvic floor appropriately.
- Have the patient lie on the stretcher in the sims position.
- Perform a digital rectal exam.
- Evaluate for any masses or residual stool within the rectum.
- Evaluate anal sphincter tone.
- Evaluate for a rectocele.
- Lubricate the enema tip and place it into the patient’s rectum.
- With the help of the technologist, instill as much of the barium paste into the rectum as the patient will allow.
- The technologist will fill five (5) syringes with barium paste.
- While it is ideal to instill all of the contrast material, avoid producing a feeling of urgency for the patient.
- Remove the enema tip.
- Using your finger, place a small amount of barium paste on the skin around the external anal opening to mark its location.
- Have the patient sit up.
- When the patient is able, have them sit on the defecography chair.
- The patient can often become dizzy when sitting back up, so ensure that they are feeling well enough to stand.
- Obtain spot films while that patient performs the following maneuvers:
- Rest
(key image 2).
- Squeeze
(key image 3).
- This should be done with maximum voluntary contraction of the sphincter and pelvic floor muscles.
- Ask the patient to try and use their muscles as if they were trying to hold in a bowel movement.
- Strain
- Ask the patient to "bear down" or increase their abdominal pressure while trying not to have a bowel movement.
- Once you have obtained images during the “rest,” "squeeze," and "strain" maneuvers, have the patient evacuate the barium.
- Obtain a cine loop of the evacuation
(cine 1).
- Once all images are obtained, the exam is complete, and the patient may get dressed.
- Image interpretation:
- Anal Canal
- Width
- During evacuation, the width of the anal canal averages 15mm and seldom exceeds 2cm
(key image 4).
- Anal canal should remain closed in the resting state and with each maneuver other than defecation.
- Incontinence of barium/stool at any moment is abnormal.
- Length
- Measured as the distance between the external anal orifice and the point where the parallel straight sides of the anal canal meet the cone shaped walls of the distal rectum.
- The mean radiographic length of the anal canal is 22mm in men and 16mm in women
(key image 5).
- Anorectal junction position
- The anorectal junction is the point where the parallel straight sides of the anal canal convert to the diverging walls of the distal rectum
(key image 6).
- This point is measured in reference to the inferior margins of the ischial tuberosities.
- During maximal straining (defecation), the anorectal junction should descend no more than 3.5 cm from its resting position.
- The movement of the anorectal junction during "squeeze" and defecation are calculated as follows:
- Perineal elevation = "squeeze" value - resting value
- Perineal descent = resting value - defecation value
- Anorectal Angle (ARA)
- The ARA is the angle between a line drawn parallel to the posterior all of the rectal ampulla just above the impression of the puborectalis sling and a line drawn in the axis of the anal canal
(key image 7).
- Measure the ARA during rest, "squeeze," and defecation.
- Rest
(key image 8)
- Squeeze
(key image 9)
- Defecation
(key image 10)
- The range of normal ARA measurements is very wide
(table 1).
Hysterosalpingogram (HSG)
Return to Table of Contents
- Indications:
- Infertility
- Confirmation of tubal occlusion after procedure (sterilzation)
- Patient prep:
- There is no specific prep, but the patient is told the following before arriving:
- To reduce cramping it is recommended that the patient take 600 mg of ibuprofen an hour before arriving for the HSG appointment.
- A pregnancy test must be done before the examination to ensure the patient is not alredy pregnanct. Some institutions allow home pregnancy tests before the appointment, however, at UVA a urine pregnancy test is done when the patient arrives for the HSG.
- The patient is also instructed to notify the gynecology team if she is menstruating as it can alter the results of the exam. The ideal time for performing the HSG is on days 5-12 of the menstrual
- Materials (gathered by the technologist):
- Omnipque 300
- Method:
- Upon entering the room, the patient will already be positioned supine on the fluoroscopy table. The interventional portion of the exam is performed by the Gynecology Department; the cervix should be cannulated and a catheter placed when you enter the room.
- Introduce yourself to the patient and the staff in the room.
- Move the fluoroscopy tower over the patient centering on the pelvis.
- The gynecologist will begin injecting contrast material into the uterus. Obtain images periodically throughout the procedure (usually at the direction of the gynecologist). The images should include the uterine cavity filled with contrast material, bilateral fallopian tubes filled with contrast material, and spillage and dispersion of contrast material into the peritoneal cavity (image 1) (image 2) (image 3) (image 4) (image 5).
- It may be necessary to place the patient into either the right lateral or left lateral oblique postion to define the anatomy more clearly.
- Spillage into the peritoneal cavity is not always seen. If this occurs during the examination, be sure to note it in the dictation.
Naso/oro Gastric Decompression Tube Placement
Return to Table of Contents
- Indications:
- Gastric perforation
- Small bowel obstruction
- Post-operative
- Patient prep:
- Chart review to determine HPI and indication for procedure
- Prior image review to evaluate for any possible abnormal anatomy
- Materials (gathered by the technologist):
- Salem sump decompression tube
- 2% viscous lidocaine
- securement method
- adhesive tape
- nasal bridle (used when there is high risk of tube becoming dislodged)
- Method:
- The preferred method of placement is nasally, although sometimes oral placement may be necessary.
- If able, ask the patient if one nostril is more open the other. If the patient isn't sure, ask them to sniff twice, holding one nostril closed each time. By doing this, the patient should be able to determine if one side is more open than the other.
- Inject a generous amount of viscous lidocaine into the chosen nostril.
- As the patient to sniff the lidocaine slowly.
- If the patient feels the lidocaine in the back of their throat, ask them to swallow.
- After administering the lidocaine, wait approximately 5 to 10 minutes before attempting to place the tube.
- While waiting, bend and stretch the distal end of the decompression tube.
- This will make the tube more flexible and allow it to move easier around curves.
- When ready to begin placement, turn the patient to the lateral position, having them face you.
- If you are in a room where the fluoro machine can be moved into a lateral position (C-Arm) it is not necessary to turn the patient.
- If placing nasally, insert the tube into the nostril, being sure to keep the tube parallel to the hard palate. If placing orally, insert the tube into the mouth.
- If needed, you can gently lift the patient's nostril to allow room for the tube.
- Using fluoroscopic guidance, advance the tube through the pharynx into the thoracic esophagus.
- If the patient is able, ask them to swallow once the tube reaches the oropharynx. This will help facilitate passage of the tube.
- If the patient was in the lateral position, have them turn supine once the tube is in the thoracic esophagus. If using a C-arm, turn it back into the AP position.
- Using fluoroscopic guidance, continue to advance the tube into the gastric body.
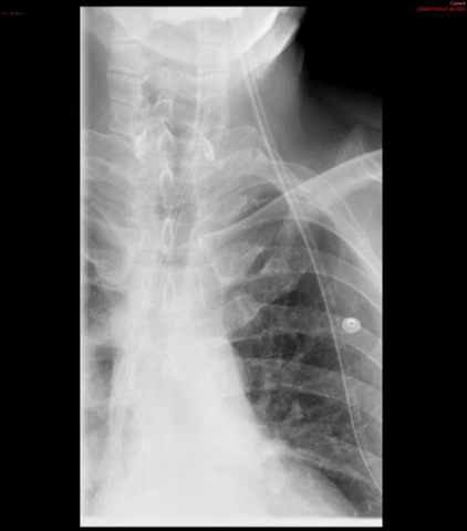
- Ensure that the most proximal side hole is inside the gastric body and obtain a spot film demonstrating the tube in the correct position
(key image 1).
- The most proximal side hole is indicated by a break in the radiopaque stripe on the tube.
- In the image above, it is indicated by the yellow arrow.
- Secure the tube to the nose with bridle or adhesive tape.
Naso/oro Gastric/duodenal/jejunal Feeding Tube Placement
Return to Table of Contents
- Indications:
- Dysphagia
- Malnutrition/failure to thrive
- Aspiration risk
- Pancreatitis
- Gastroparesis or gastric outlet obstruction
- Patient prep:
- Chart review to determine HPI and indication for procedure.
- Review prior images to determine abnormal anatomy.
- If the chart review does not reveal where the feeding tube should terminate (stomach, duodenum, jejunum), call the team to confirm.
- Materials (gathered by technologist):
- weighted-tip feeding tube
- guide wire (if needed)
- angle-tipped catheter (if needed)
- 2% viscous lidocaine
- bridle (if needed - if risk of losing the tube or difficult placement)
- adhesive tape
- water-soluble contrast material
- water
- Methods (without guidewire):
- The preferred method of placement is nasally, although sometimes oral placement may be necessary.
- If able, ask the patient if one nostril is more open the other. If the patient isn't sure, ask them to sniff twice, holding one nostril closed each time. By doing this, the patient should be able to determine if one side is more open than the other.
- Inject a generous amount of viscous lidocaine into the chosen nostril.
- As the patient to sniff the lidocaine slowly.
- If the patient feels the lidocaine in the back of their throat, ask them to swallow.
- After administering the lidocaine, wait approximately 5 to 10 minutes before attempting to place the tube.
- While waiting for the lidocaine to take effect, bend and stretch the weighted end of the tube. This makes the tube slightly more flexible and usually allows for easier placement.
- When ready to begin placement, turn the patient to the lateral position, having them face you.
- If you are in a room where the fluoro machine can be moved into a lateral position (C-Arm) it is not necessary to turn the patient.
- If placing nasally, insert the tube into the nostril, being sure to keep the tube parallel to the hard palate. If placing orally, insert the tube into the mouth.
- If needed, you can gently lift the patient's nostril to allow room for the tube.
- Using fluoroscopic guidance, advance the tube through the pharynx into the thoracic esophagus.
- If the patient is able, ask them to swallow once the tube reaches the oropharynx. This will help facilitate passage of the tube.
- If the patient was in the lateral position, have them turn supine once the tube is in the thoracic esophagus. If using a C-arm, turn it back into the AP position.
- Using fluoroscopic guidance, continue to advance the tube into the gastric body.
- If the preferred location of the tube is the gastric body, skip to step ___.
- If the preferred location of the tube is in the duodenum or jejunum, continue to advance the tube to the desired location.
- If having difficulty navigating out of the stomach:
- Injecting air through the tube while it is in the stomach can distend the stomach to allow for easier passage to the antrum.
- Placing the patient into the LPO position can often open the pylorus, allowing injected air to exit the stomach which can sometimes help passage of the tube. It will also provide an outline of the duodenal bulb and duodenum and provide you with a "road map" for passage.
- If you are still having difficulty, place the patient in the RPO position and inject some water soluble contrast material through the tube to help guide placement.
- Once you have the tube in the desired location, inject water soluble contrast material through the tube to verify location. Immediately after injection, obtain a spot image or do a screen capture showing final tube position.
- nasoduodenal
(key image 1)
- nasojejunal
(key image 2)
- Secure the tube to the nose with bridle or adhesive tape.
- Methods (with guidewire):
- The preferred method of placement is nasally, although sometimes oral placement may be necessary.
- If able, ask the patient if one nostril is more open the other. If the patient isn't sure, ask them to sniff twice, holding one nostril closed each time. By doing this, the patient should be able to determine if one side is more open than the other.
- Inject a generous amount of viscous lidocaine into the chosen nostril.
- As the patient to sniff the lidocaine slowly.
- If the patient feels the lidocaine in the back of their throat, ask them to swallow.
- After administering the lidocaine, wait approximately 5 to 10 minutes before attempting to place the tube.
- While waiting for the lidocaine to take effect, place a straight guidewire into the angle-tipped catheter so that the guidewire is all the way through the catheter but not sticking out.
- When ready to begin placement, turn the patient to the lateral position, having them face you.
- If you are in a room where the fluoro machine can be moved into a lateral position (C-Arm) it is not necessary to turn the patient.
- If placing nasally, insert the angle-tipped catheter (loaded with the guidewire) into the nostril, being sure to keep the catheter parallel to the hard palate. If placing orally, insert the catheter into the mouth.
- Using fluoroscopic guidance, advance the catheter and guidewire through the pharynx into the thoracic esophagus.
- It may be necessary to "steer" the catheter into the esophagus by turning the catheter. This will cause the "angle-tipped" end to turn.
- If unable to pass the catheter and wire together, advance just the wire into the esophagus, then advance the catheter over the guidewire.
- If the patient was in the lateral position, have them turn supine once the tube is in the thoracic esophagus. If using a C-arm, turn it back into the AP position.
- Using fluoroscopic guidance, continue to advance the catheter and guidewire into the gastric body.
- If the preferred location of the tube is the gastric body, skip to step 12.
- If the preferred location of the tube is in the duodenum or jejunum, continue to advance the tube to the desired location.
- If having difficulty navigating out of the stomach:
- Injecting air through the tube while it is in the stomach can distend the stomach to allow for easier passage to the antrum.
- Placing the patient into the LPO position can often open the pylorus, allowing injected air to exit the stomach which can sometimes help passage of the tube. It will also provide an outline of the duodenal bulb and duodenum and provide you with a "road map" for passage.
- If you are still having difficulty, place the patient in the RPO position and inject some water soluble contrast material through the tube to help guide placement.
- Once the catheter and guidewire are in the preferred location, remove the catheter leaving the guidewire in place.
- This is accomplished using the "push/pull" method.
- Gently push on the wire (not really advancing the wire) while pulling on the catheter.
- Cut off the weighted end of the feeding tube and cut several side holes into the distal end of the tube.
- There is no end hole on the weighted tip feeding tube so they weighted end must be removed before a wire can be placed through the tube.
- Flush the tube with water and lubricate the distal end of the tube with viscous lidocaine.
- Advance the feeding tube over the guidewire.
- Pin the wire in place while advancing the catheter over the wire. This will prevent the wire from advancing further into the bowel.
- To make placement easier, keep the tube and wire as straight as possible. It can be difficult to advance the tube over the wire if the wire is curved.
- It may be necessary to apply "back pressure" to the wire. This is accomplished by gently pulling on the wire while advancing the catheter. The tip of the guidewire should not move while you are doing this. If the wire starts to come back, stop pulling on the wire immediately so that purchase is not lost.
- One the distal end of the tube is in the appropriate position, remove the guidewire.
- Inject contrast material and obtain either a spot film or last image hold demonstrating the tube in the correct position.
- nasoduodenal
(key image 3)
- nasojejunal
(key image 4)
- Secure the tube to the nose with bridle or adhesive tape.
J-arm Placement
Return to Table of Contents
- Indications:
- Concern for aspiration in a patient with a gastrostomy tube
- Pancreatitis
- Gastroparesis or gastric outlet obstruction
- Any issue requiring post-gastric feeds
- Patient prep:
- Chart review to determine HPI and indication for the procedure.
- Review prior cross sectional imaging and evaluate for any abnormal anatomy.
- The patient must have a 24 French G-tube.
- Materials (gathered by the technologist):
- J arm catheter
- angle-tipped catheter
- guidewire
- Toomey syringe and luer lock syringe
- lubricating jelly
- water soluble contrast material
- Methods:
- Place the patient on the table in either the supine or LPO position.
- The technologist should have arranged the room so that when the patient turns into the LPO position, they will be turning toward you.
- Insert the angle-tipped into the PEG tube and advance it to the stomach.
- Clamp the G tube. Using the luer lock syringe, inject some air through the angle-tipped catheter.
- This air will help distend the stomach slightly and also demonstrate where the antrum, pylorus, and duodenal bulb are located.
- If there is any question that the gastrostomy tube is located in the stomach with the injection of this air, inject a small amount of sterile water soluble contrast material through the angle-tipped catheter to verify gastric placement.
- Insert a guidewire into the angle-tipped catheter.
- Use the angle-tipped catheter to "steer" the guidewire through the stomach, into the duodenum, and beyond the ligament of Treitz.
- If necessary, air may be injected through the angle-tipped (after removal of the guidewire).
- Remove the angle-tipped catheter leaving the guidewire in place. This is done using the "push/pull" method described above
(key image 1).
- Insert the j-arm over the guidewire and advance it to the G tube opening.
- Pin the wire in place while advancing the catheter over the wire. This will prevent the wire from advancing further into the bowel.
- To make placement easier, keep the tube and wire as straight as possible. It can be difficult to advance the tube over the wire if the wire is curved.
- It may be necessary to apply "back pressure" to the wire. This is accomplished by gently pulling on the wire while advancing the catheter. The tip of the guidewire should not move while you are doing this. If the wire starts to come back, stop pulling on the wire immediately so that purchase is not lost.
- Lubricate the J arm and continue to advance it over the wire through the G tube and into the bowel.
- Once the J arm is fully inside the G tube, remove the wire, leaving the J arm in place.
- Inject contrast material through the newly placed J arm and obtain a spot film or last image hold demonstrating the final placement location
(key image 2).
- Secure the J arm to the gastrostomy tube using a zip tie.
- Lastly, flush the J arm with water.
Percutaneous Gastrostomy Tube Exchange
Return to Table of Contents
- Indications:
- Routine maintenance
- Clogged tube
- Malpositioned or dislodged tube
- Patient prep:
- Chart review to determine HPI and indication for procedure.
- Ensure that the percutaneous gastrostomy tract is at least 6 weeks old.
- Waiting 6 weeks from time of placement allows the gastrostomy tract to mature.
- This lessens the risk of pushing the stomach away from the abdominal wall during placement.
- In some situations, the tube can be exchanged before 6 weeks has elapsed, but this must be approved by the attending radiologist.
- Materials:
- guidewire (optional)
- replacement gastrostomy tube in appropriate French size
- viscous lidocaine
- water soluble contrast material
- sterile water
- Method:
- If desired, place a guidewire through the existing gastrostomy tube.
- This is not necessary in patients that have a mature gastrostomy tract.
- If the tract is less than 6 weeks old, a guidewire must be used.
- If the patient has a balloon gastrostomy tube in place, deflate the balloon on the patient’s existing gastrostomy tube.
- Remove the existing gastrostomy tube and replace with the new tube.
- If the patient has a bumper tube in place, tube removal is accomplished by placing the hand on the patient's abdomen around the tube and pulling on the tube slowly but forcefully until it comes out.
- Inflate the retention balloon with the manufacturer’s recommended volume of sterile water.
- Sterile water is the only thing that should be used to inflate the retention balloon. Air, tap water, saline, or contrast material should not be used.
- Turn the patient to a lateral decubitus position.
- If using a room equipped with a C-arm, the patient may remain supine, and the C-arm can be turned into the lateral position.
- Inject water soluble contrast material into the gastrostomy tube and obtain a spot film.
- Repeat the previous step with the patient supine.
- Once intraluminal placement is confirmed, slide the external retention bumper against the abdominal wall to secure the gastrostomy tube.
- If desired, dress the tube with drain sponges.
Percutaneous Jejunostomy Tube Exchange
Return to Table of Contents
- Indications:
- Routine maintenance
- Kinked tube
- Clogged tube
- Malpositioned or dislodged tube
- Patient prep:
- Chart review to determine HPI and indication for procedure.
- Ensure that the percutaneous jejunostomy tract is at least 6 weeks old.
- Waiting 6 weeks from time of placement allows the jejunostomy tract to mature.
- This lessens the risk of pushing the small bowel away from the abdominal wall during placement.
- In some situations, the tube can be exchanged before 6 weeks has elapsed, but this must be approved by the attending radiologist.
- Materials:
- guidewire
- angle-tipped catheter (if needed)
- replacement jejunostomy tube in appropriate French size
- viscous lidocaine
- water soluble contrast material
- sterile water
- Method:
- Insert guidewire into the patient’s existing jejunostomy tube.
- If unable to advance the guidewire through the existing jejunostomy tube, follow the step in the "modification" listed below.
- Deflate the balloon on the patient’s existing jejunostomy tube.
- Remove the existing jejunostomy tube using the "push/pull" technique.
- Advance the new jejunostomy tube over the guidewire.
- Pin the wire in place while advancing the catheter over the wire. This will prevent the wire from advancing further into the bowel.
- It may be necessary to apply "back pressure" to the wire. This is accomplished by gently pulling on the wire while advancing the catheter. The tip of the guidewire should not move while you are doing this. If the wire starts to come back, stop pulling on the wire immediately so that purchase is not lost.
- Once the jejunostomy tube is in place, inflate the retention balloon with the manufacturer’s recommended volume of sterile water.
- Sterile water is the only thing that should be used to inflate the retention balloon. Air, tap water, saline, or contrast material should not be used.
- Turn the patient to a lateral decubitus position.
- If using a room equipped with a C-arm, the patient may remain supine, and the C-arm can be turned into the lateral position.
- Inject water soluble contrast material into the jejunostomy tube and obtain a spot film.
- Repeat the previous step with the patient supine.
- Observe the contrast material as it moves through the bowel to ensure the tube is in the efferent limb of the jejunum
(cine 1).
- Once intralumenal placement is confirmed, slide the external retention bumper against the abdominal wall to secure the jejunostomy tube.
- Modification (use this if you are unable to pass a guidewire through the existing jejunostomy tube):
- Deflate the balloon on the existing jejunostomy tube and remove the tube.
- Through the stoma insert a angle-tipped catheter preloaded with a guidewire.
- Advance the catheter and guidewire into the efferent jejunal limb.
- Ensure efferent limb placement by injecting water soluble contrast material through the angle-tipped catheter (after you have removed the guidewire).
- Observe the contrast material as it moves through the bowel to ensure that it is moving away from the catheter and not back toward the stoma.
- Once you have ensured the catheter and guidewire are in the appropriate position, remove the angle-tipped catheter from the guidewire using the "push/pull" technique.
- Resume step 4 in the above directions.
Chest Fluoroscopy
Return to Table of Contents
- Indications:
- Concern for hemi-diaphragm paralysis
- Unexplained shortness of breath
- Patient prep:
- Chart review to determine HPI and indication for procedure.
- Determine if the patient can stand or lie flat (table can be tilted). The patient cannot be sitting up for the procedure.
- Notes:
- If the patient is intubated and/or trached and on a ventilator, the patient must be able to initiate a breath without the assistance of the ventilator to be able to perform the exam.
- Materials:
- None
- Method:
- Have the patient in AP position (standing or lying on the table).
- Obtain cine loop while the patient breathes normally
(cine 1).
- Obtain a cine loop while the patient does forced inhalation or sniffing
(cine 2).
- Instruct the patient to quickly inhale/sniff through the nose, as if their nose was running.
- The sniff must be quick.
- The patient should only do one sniff at a time, not several in a row.
- Repeat steps b and c with the patient in the lateral position while ensuring that the patient’s arm are out of the field of view
(cine 3)
(cine 4).
Fistulagram through Existing Catheter/Drain Check
Return to Table of Contents
- Indications:
- Evaluation of collection size
- Concern for connection from the collection to bowel, other organ, or skin
- Patient prep:
- Preferably NPO after midnight although not required.
- Chart review to determine to determine HPI and indication.
- Materials (gathered by the technologist):
- sterile water-soluble contrast material
- sterile saline flush
- Method:
- The technologist will obtain a scout image of the fistula site to determine preprocedural anatomy
(key image 1).
- If performing the exam in a room equipped with a C-arm, obtain a scout fluoroscopic spot film.
- Clean off the injection port on the existing drain with an alcohol swab.
- Most drains will have a three-way stopcock that can be used for injection.
- Slowly inject sterile water-soluble contrast material.
- Obtain spot images to observe the flow of the contrast material
(key image 2).
- It may be necessary to reposition the patient to ensure you can capture key images of the flow of the contrast material.
- Ensure you inject adequate amounts of contrast material to determine the final location of the contrast material (i.e., intraluminal versus extraluminal).
- If needed, ask the technologist to obtain a post-procedure overhead radiograph.
- When the examination is completed, flush the catheter with sterile saline.
Fistulagram without Existing Catheter (cutaneous access)
Return to Table of Contents
- Indications:
- Concern fistula or fistulous connection
- Evaluation for resolution of known fistula
- Patient prep:
- Preferably NPO after midnight although not required.
- Chart review to determine to determine HPI and indication.
- Ensure the patient has no known allergy to water-soluble contrast material.
- Materials (gathered by the technologist):
- instrument to cannulate the fistula (i.e., pediatric feeding tube, foley catheter, or red rubber catheter)
- sterile water-soluble contrast material
- viscous lidocaine
- Method:
- Start with the patient supine.
- Technologist will obtain a scout image of the fistula site to determine preprocedural anatomy
(key image 1).
- Cannulate the fistula with the catheter coated with viscous lidocaine.
- Slowly inject sterile water-soluble contrast material.
- Obtain spot images to observe the flow of the contrast material
(key image 2)
(key image 3)
(key image 4)
(key image 5)
(key image 6)
(key image 7)
(key image 8)
(key image 9)
(key image 10)
(key image 11)
(key image 12)
(key image 13)
(key image 14)
(key image 15).
- You can reposition the patient if needed to ensure you can capture key images of the flow of the contrast material.
- Ensure you inject adequate amounts of contrast material to determine the final location of the contrast material (i.e., intraluminal versus extraluminal).
- The technologist will obtain a post-procedure overhead radiograph
(key image 16)
(key image 17).
Drain Exchange
Return to Table of Contents
- Indications:
- Routine drain maintenance
- Upsize or downsize requested
- Kinked or clogged drain
- Patient prep:
- Chart review to determine the location and type of drain.
- Determine the reason for replacement (i.e., routine maintenance, change in size, etc.)
- Materials (gathered by the technologist):
- sterile tray (which includes the following):
- (2) Chloraprep
- (2) 10 mL syringe
- 25g needle
- 19g needle
- foam needle block
- (4) sterile towels
- (10) 4 x 4 sterile gauze
- sterile gloves
- sterile gown
- additional 19g needle
- guidewire
- This is usually a 140 cm straight Amplatz guidewire.
- 60 mL syringe
- water soluble contrast material
- sterile scissors
- dilators (if upsizing)
- new drain
- drainage bulb
- drain tubing
- Q syte
- nylon suture
- needle driver
- Percu-stay dressing
- Tegaderm
- Method:
- Inject sterile contrast material in the current drain to confirm the location of the drain
(key image 1)
(key image 2).
- Once location is confirmed, prep the patient in a sterile fashion.
- Using scissors, cut off the end of the existing drain.
- If the drain is a non-locking drain, it does not need to be cut.
- Insert guidewire through the existing drain into the cavity.
- Try to get the guidewire to exit from end hole of the drain as opposed to one of the drain side holes.
(key image 3).
- Ensure several centimeters of the guidewire is advanced through the end-hole of the drain.
- Using the "push-pull" method, remove the existing drain while leaving the guidewire in place (not advancing or withdrawing).
- If upsizing is necessary, dilate the skin tract using the appropriate dilators.
- Advance the new drain with plastic stiffener over the guidewire to the appropriate depth.
- Disconnect the stiffener from the drain and advance the drain so that the side-holes of the drain are within the collection.
- Remove the guidewire and stiffener, while leaving the new drain in place.
- Pull the string to lock the pigtail.
- Attach draining tubing and suction bulb to the end of the drain.
- Obtain a post-procedure image(s) showing the new drain in place
(key image 4).
- Clean around the dermotomy site and place a new Percu-stay.
- If necessary, the drain may be sutured in place using a nylon suture.